치료사례

본문 바로가기

메뉴

치료사례

Yonsei Thank You Dental Clinic

치료사례

연세고마운치과에서 치료받은 환자분들이
직접 작성해주신 고마운 치료 후기 입니다.

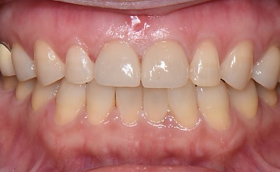
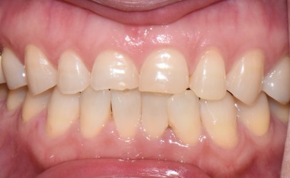
치아미백 전후

  • 치아미백 치료사례가 없습니다.

전체 심미치료 전후

검색

고맙습니다. 그 한마디만으로도 전해지는 진실함, 그런사람이고 싶습니다.
고맙습니다. 그 한마디만으로도 전해지는 진실함, 그런사람이고 싶습니다.
협력 업체 로고1
협력 업체 로고2
협력 업체 로고3
그누보드5

연세고마운치과의원 홍제점 / 연락처 : 02)6374-2828 / FAX : 02)6374-2829 / 서울시 서대문구 통일로 456 (2층, 3층)
대표자 : 서정혁 / 사업자등록번호 : 865-12-00434

연세고마운치과의원 홍제점 / 02)6374-2828 /
FAX : 02)6374-2829
서울시 서대문구 통일로 456 (2층, 3층)
대표자 : 서정혁
사업자등록번호 : 865-12-00434

Copyright Yonsei Thank You Dental Clinic. all right reserved. Designed by ThankyouCompany
Copyright Yonsei Thank You Dental Clinic.
all right reserved. Designed by ThankyouCompany