임플란트틀니는 2~6개의 임플란트를 식립한 후 자석
또는 똑딱 단추를 이용하여
전체틀니를 고정하는 방식의 틀니입니다.
또는 똑딱 단추를 이용하여
전체틀니를 고정하는 방식의 틀니입니다.
임플란트 틀니의 장점
-
단단한 고정력
-
자연치아와 유사한 저작력
-
입천장을 덮지 않아 작은 이물감
-
정확한 발음 가능
-
전체임플란트와 비교하여 비용 절감
일반 틀니 vs 임플란트 틀니
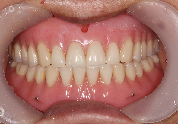
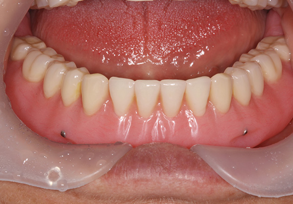
임플란트 틀니 치료 사진
-
임플란트 틀니 치료 전 -
임플란트 식립 후 -
임플란트 + 틀니 -
임플란트 + 틀니






