중장년 성인도 치아교정이 가능할까요?
-
나이에 상관없이 건강한 치아와 잇몸상태를 가지고 있다면 교정력을 통해서 중장년 성인도 치아교정을 할 수 있습니다.
-
심미성을 높이기 위해 돌출입과 덧니 등을 치료하여 교정치료를 받는 성인 환자가 꾸준히 증가하고 있습니다.
-
임플란트 및 보철치료를 위한 치아이동을 위해서 교정치료를 병행하는 경우도 있습니다.
성인 치아교정의 장점
-
가지런한 치아배열로 인한 좋은 미소로 대인관계에 도움이 됩니다.
-
구강위생관리가 손쉬워 충치 및 잇몸질환 발생률이 낮아집니다.
-
청소년에 비해 치료협조도가 높아 치료결과가 좋습니다.
-
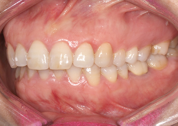
성인 치아교정 전 -
성인 치아교정 후 -
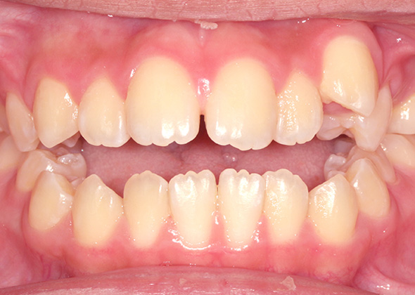
성인 치아교정 전 -
성인 치아교정 후 -
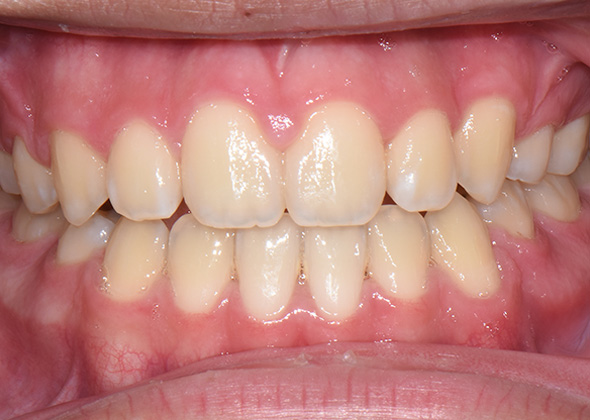
성인 치아교정 전 -
성인 치아교정 후
연세고마운치과의 청소년 치아교정
청소년 및 청년 치아교정의 필요성
-
영구치가 모두 나오는 만 12세 ~ 13세부터 교정치료가 권장됩니다.
-
외모에 민감한 청소년기 치아교정 통해 자연스러운 치열과 골격을 형성해 준다면 자존감을 높일 수 있습니다.
청소년 치아교정의 장점
-
유치와 영구치가 교환하는 시기로 교정치료의 효율과 효과가 가장 좋은 시기입니다.
-
성인에 비해 빠르고 안정적인 치료 결과를 얻을 수 있습니다.
-
심미성 향상으로 성장기 대인관계 및 자아형성에 긍정적인 도움을 줄 수 있습니다.
-
청소년 치아교정 전 -
청소년 치아교정 후
연세고마운치과의 소아 치아교정
소아 치아교정의 필요성
-
턱 성장을 조절하여 조화로운 안면골격을 형성합니다.
-
원만한 영구치 맹출을 위해 필요합니다.
소아 치아교정의 장점
-
심각한 부정교합을 예방할 수 있습니다.
-
장치를 부착하는 2차교정 치료기간을 단축할 수 있습니다.
-
치아를 발치하는 교정치료를 피할 수 있습니다.
<급속구개확장장치를 이용한 1차교정 후 발치 없이 2차교정으로 치료>








